Ортодонтический трейнер улучшает эстетику лица и осуществляет коррекцию положения зубов за счет устранения миофункциональных вредных привычек, имеющих место при нарушении окклюзии.
Данный метод лечения позволяет начать исправление прикуса в раннем возрасте, начиная с 5 лет, причём наиболее простым и безболезненным для ребёнка способом. Если лечебный эффект обычных аппаратов, механически воздействующих на зубы, направлен на исправление уже имеющихся нарушений, то трейнер устраняет саму причину этих нарушений и, что особенно важно, позволяет закрепить достигнутые результаты, т.к. мышцы, «привыкшие» функционировать правильно, позволяют исключить возможность рецидивов. Уникальная форма трейнера, изготовленного из эластичного силикона, позволяет мягко снять избыточное давление мышц. Он очень удобен в использовании, поскольку носится во время ночного сна и всего 1 час днём. В результате лечения у ребёнка плавно происходит исправление прикуса ещё в раннем возрасте, выравниваются зубы и заметно улучшаются черты лица. Кроме того, иногда исключается необходимость дальнейшего ортодонтического лечения с использованием брекет-систем.
Многие считают, что неровные зубы — результат наследственности. Но, оказывается, в 70% случаев подобные нарушения возникают под воздействием избыточного давления мышц, окружающих челюсти. Если ребёнок привык дышать ртом, постоянно кладёт в рот палец, закусывает губу или щёку, это часто становится причиной неправильного положения прорезывающихся постоянных зубов.
Традиционные методы лечения с использованием съёмных ортодонтических пластин, которые ребёнок должен носить постоянно, связаны с рядом неудобств, как физических, так и психологических.
Показания к использованию пре-ортодонтического трейнера:
- Скученность во фронтальном отделе нижней челюсти
- Открытый прикус во фронтальном отделе
- II класс Энгля 1 и 2 подклассы
- Глубокий прикус
- I класс Энгля, скученность
- Слабовыраженный III класс Энгля
- «Вредные» привычки: сосание большого пальца, неправильное глотание, речевые проблемы
- Неправильное положение нижней челюсти
Противопоказания к использованию пре-ортодонтического трейнера
- Конфликт Дети/Родители
- Выраженный III класс
- Перекрестный прикус в боковых участках
- Значительная заложенность носа
2-х этапная программа лечения рассчитана на минимальное использование аппаратов (1 час днём плюс всю ночь).

Начальный трейнер (голубой) — мягкий и гибкий. Он позволяет адаптироваться к нему даже при выраженных искривлениях зубов. Он используется первые 6 месяцев. Позволяет легко адаптироваться даже при выраженных дизокклюзиях.

Твердый (розовый) трейнер — более жесткий . Он используется по предписанию врача в последующие 6–12 месяцев. При не выраженных дизокклюзиях можно начать лечение сразу с этого аппарата.
Типичные случаи в ортодонтической практике

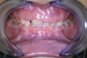
Скученность зубов во фронтальном отделе нижней челюсти.

Аномалия II класса 1 подкласса Энгля в сочетании с глубокой резцовой дизокклюзией

Открытый прикус во фронтальном отделе

Аномалия II класса 2 подкласса Энгля в сочетании с глубокой резцовой дизокклюзией (вследствие нижнечелюстной ретрогнатии)
Вопросы и ответы
1. Чем отличается лечение при помощи трейнера от лечения с использованием съёмных пластин и брекетов?
Если пластинки и брекеты являются ортодонтическими приспособлениями, которые, механически воздействуя на зубы, позиционируют их в правильном положении, то трейнеры являются функциональными пре-ортодонтическими аппаратами, действие которых направлено, прежде всего, на снятие напряжения и избыточного давления на челюсти и зубы, а также на исправление вредных привычек, часто являющихся причиной нарушений прикуса и неправильного положения зубов. Трейнер позволяет выравнивать формирующийся зубной ряд, стимулируя развитие различных челюстных отделов, а функционирующие правильно мышцы, обеспечивают стабильность достигнутых результатов, чего не могут гарантировать традиционные методы лечения. Кроме того, если ортодонтические пластинки и брекеты ребёнок должен носить постоянно, что связано с рядом физических и психологических неудобств, то основное лечебное воздействие трейнера осуществляется преимущественно ночью, во время сна, (днём его достаточно носить всего 1 час). В целом, лечение с помощью трейнера проще и безболезненней для ребёнка, что тоже немаловажно.
2. В каком возрасте лучше начать исправление прикуса и положения зубов у ребёнка?
Если ребёнок привык дышать ртом, кладёт палец в рот, закусывает губу или щёку, это часто становится причиной неправильного положения прорезывающихся постоянных зубов. При дыхании ртом, например, язык ребёнка находится в нижнем положении, в результате чего верхняя челюсть развивается слабо, сужается и возникает т.н. «скученность» прорезающихся зубов. Поэтому лучше начать пре-ортодонтическое лечение уже при первых признаках нарушений, т.е. в начальный период смены зубов (5–8 лет).
3. Насколько результативно лечение с помощью трейнера?
Результативность лечения, начатого в раннем возрасте очень высока — 90%. Если трейнер применялся регулярно на протяжении указанного врачом времени, то более чем в 70% случаев отпадает необходимость дальнейшего ортодонтического лечения с использованием дорогостоящих брекет-систем.
4. Какова стоимость лечения с использованием трейнера?
Стоимость такого лечения в 6–7 раз ниже стоимости лечения при помощи брекет-систем, требующих снятия слепков, лабораторного изготовления и припасовки. Рассчитанные методом компьютерного моделирования трейнеры выпускаются единого универсального размера и фактически не требуют подгонки, за исключением подрезания концов по длине челюсти.
5. Что делать, если ребёнок «разжёвывает» мягкий силиконовый трейнер?
При лечении с применением трейнеров большой процент успеха зависит от того, насколько правильно вы настроите ребёнка, насколько доступно разъясните ему, как правильно пользоваться трейнером. Объясните, что нельзя жевать или гнуть трейнер ради забавы, нельзя разговаривать, когда трейнер находится во рту. Помните, что во время часового ношения трейнера в дневное время, ребёнок должен находиться в состоянии относительного покоя, (пока он смотрит телевизор, делает уроки, и т.п.) В отдельных случаях, например, когда у ребёнка наблюдается бруксизм (непроизвольное скрежетание зубами во сне), можно сразу назначить более жёсткую модель.
Мы принимаем к оплате банковские карты